Willkommen bei VetOrtho Tierorthopädie
Orthopädische Leistungen
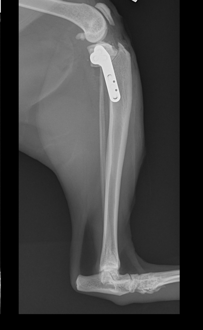
Unsere orthopädischen Schwerpunkte : TPLO bei Hund und Katze
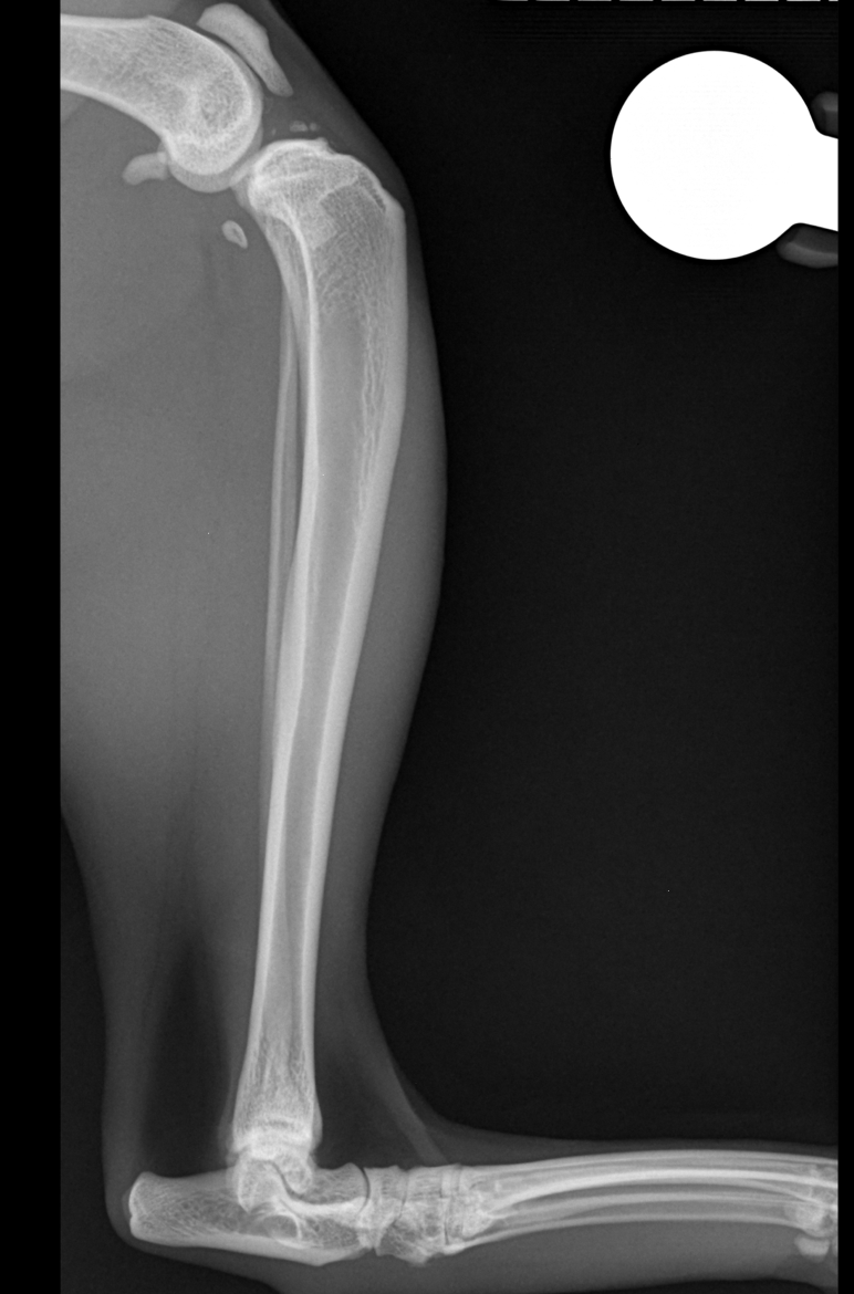
Kreuzbandriss – TPLO Hund
Die Ruptur des vorderen Kreuzbandes zählt zu den häufigsten orthopädischen Erkrankungen beim Hund.
Die TPLO (Tibial Plateau Leveling Osteotomy) ist ein bewährtes Verfahren zur funktionellen Stabilisierung des Kniegelenks und ermöglicht eine zuverlässige und langfristige Verbesserung der Gelenkfunktion.


Kreuzbandriss – TPLO Katze
Wie beim Hund kann auch die Katze mit der TPLO-Technik operiert werden. Die Methode stabilisiert das Knie, lindert Schmerzen und ermöglicht eine schnelle Genesung.


Arthrex TPLO Platte


Wir verwenden Implantate der renommierten Firma Arthrex, die auch Implantate für die Humanmedizin herstellt. Hochpräzise Implantate, individuell angepasst an die Größe und Anatomie jedes Tieres.
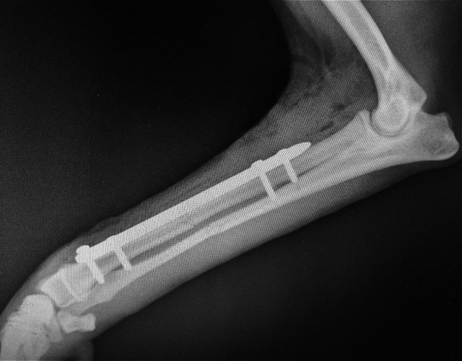
Frakturversorgung (Knochenbrüche)
Behandlung von Frakturen bei Hunden und Katzen mittels moderner Verfahren.
Ziel ist eine stabile Fixation, eine schnelle Heilung und die möglichst frühzeitige Wiederherstellung der Belastbarkeit.

Frakturversorgung mit Arthrex Implantate
Für die Behandlung von Knochenbrüchen verwenden wir moderne Implantate von höchster Qualität. Sie bieten eine sehr gute Stabilität und unterstützen eine sichere Heilung. Je nach Art der Fraktur kommen Implantate aus Titan oder hochwertigem chirurgischem Edelstahl zum Einsatz. Die Implantate sind in passenden Größen verfügbar und genau auf den Knochen und die Anatomie Ihres Tieres abgestimmt.











